What is the Cranial Cruciate Ligament? Understanding CCL Tears in Dogs

The Cranial Cruciate Ligament (CCL) is a crucial component of your dog’s knee joint, providing essential stability. Unfortunately, CCL rupture is one of the most common and painful knee injuries in dogs, particularly in medium to large breeds that are active. When the Cranial Cruciate Ligament is torn, it causes significant instability in the knee, leading to severe pain and discomfort.

If a CCL tear is left untreated, it can result in irreversible knee damage, including arthritis, which can impact your dog’s quality of life permanently. Surgery is the only effective treatment for Cranial Cruciate Ligament injuries, as it corrects the instability and helps prevent the long-term development of arthritis. Understanding the importance of the CCL and recognizing the signs of a tear can ensure your dog receives the necessary care to maintain a healthy, active lifestyle.

What is TPLO Surgery? Understanding Tibial Plateau Leveling Osteotomy for Pets

TPLO (Tibial Plateau Leveling Osteotomy) is a specialized surgical procedure designed to stabilize the knee joint in pets, particularly dogs, that have suffered a torn Cranial Cruciate Ligament (CCL). This surgery alters the angle of the tibial plateau, effectively removing instability and allowing your pet to regain mobility. During the procedure, a bone plate and surgical screws are used to secure the newly adjusted angle, eliminating the need for the damaged CCL.

Pets with a torn Cranial Cruciate Ligament often experience concurrent injuries, such as meniscus damage. The TPLO surgery involves a thorough exploration of the entire joint, ensuring that all injuries are identified and treated during the operation. TPLO is a widely recommended solution for dogs with CCL injuries, helping them return to an active and pain-free life.

 

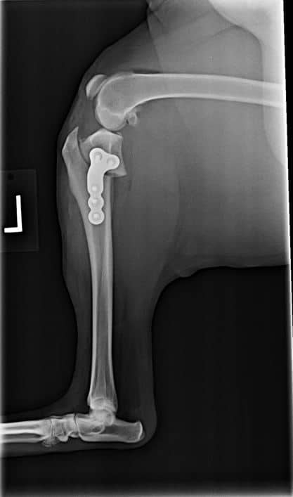
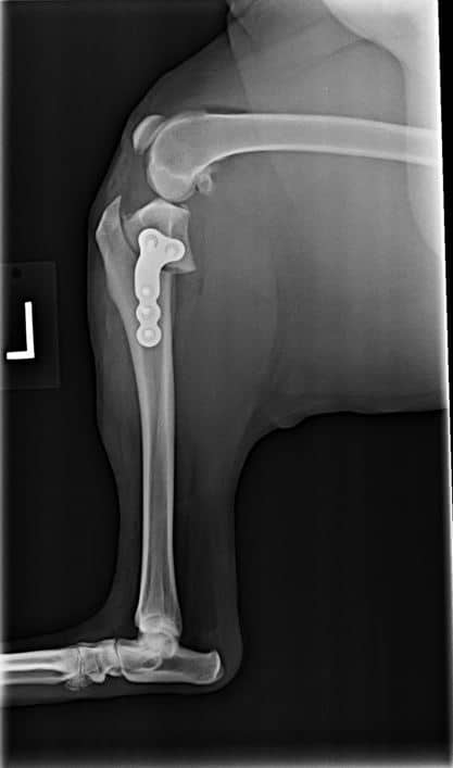
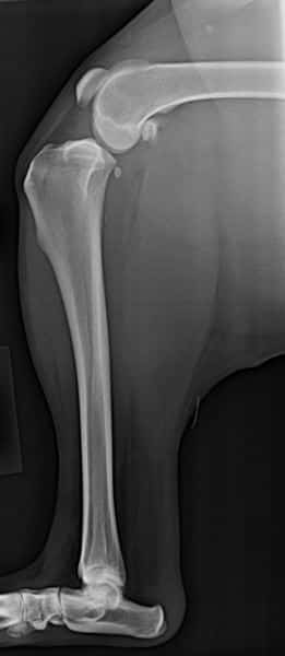
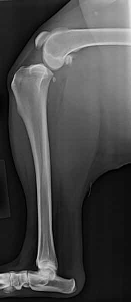
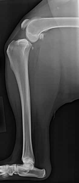
Before TPLO

Before TPLO

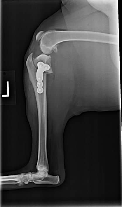
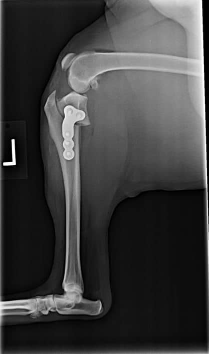
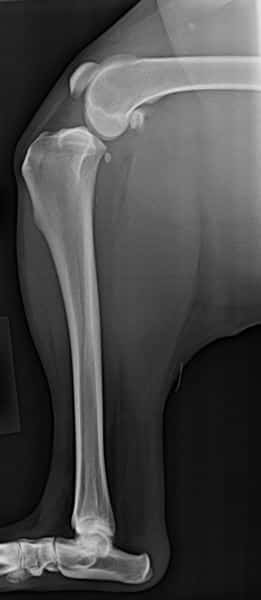
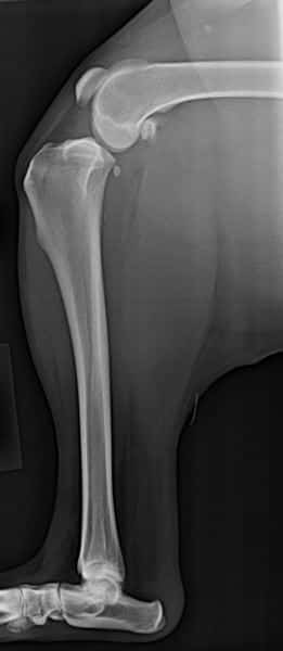
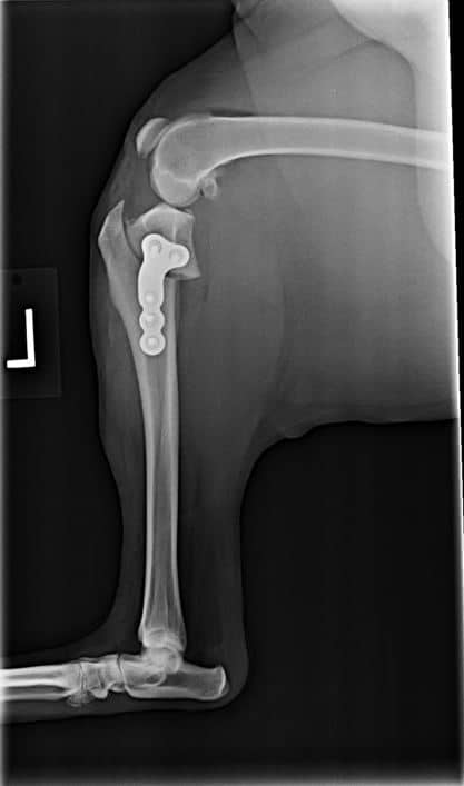
After TPLO

After TPLO

Which Dogs Need TPLO Surgery? Ideal Candidates for Tibial Plateau Leveling Osteotomy

TPLO surgery (Tibial Plateau Leveling Osteotomy) is a highly recommended procedure for dogs of any size suffering from a Cranial Cruciate Ligament (CCL) tear. While TPLO can be performed on all breeds, it is particularly favored for medium and large breed dogs, especially those with active lifestyles. This surgery provides a robust and durable repair of the injured knee joint, making it the preferred choice for larger dogs that place more stress on their joints due to their size and activity level.

For active dogs, TPLO surgery offers the best chance of a full recovery, allowing them to return to their normal activities without the risk of re-injury. If your dog has suffered a CCL tear, TPLO is a proven solution that can help them regain mobility and enjoy an active, pain-free life.

 

What to Expect After TPLO Surgery: A Guide to Your Dog’s Recovery

The recovery period following TPLO surgery (Tibial Plateau Leveling Osteotomy) is a critical part of your dog’s healing process. For 8-10 weeks, your pet will need to be on leash-restricted activity, meaning they should only go outside on a leash to limit movement and prevent strain on the healing knee. After this recovery period, we will perform recheck X-rays to assess the healing of the surgical site and ensure there are no issues with the bone plates or screws used during the procedure.

Most dogs start to gradually return to normal walking within the first 1-2 weeks after surgery, but it’s essential to keep them restricted for the full 8-10 weeks to ensure complete recovery. In addition to activity restrictions, we’ll provide you with physical therapy techniques to perform at home. These exercises help manage post-operative swelling and maintain the health of your dog’s muscles and joints during recovery.